Salad

Scientists cured type 1 diabetes in mice by creating a blended immune system

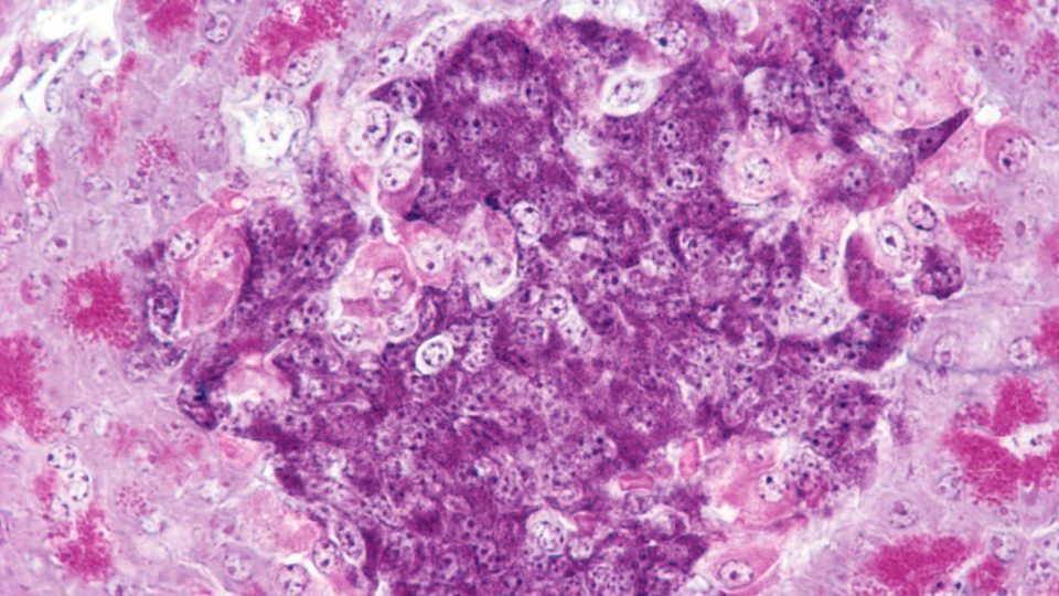
Scientists have cured type 1 diabetes in mice, without long-term immune suppression.

In type 1 diabetes, the immune system attacks insulin-producing cells, and replacing them with transplanted cells from donors has historically required people to take strong immunosuppressants for life, which severely limited the reach of such transplants.

Related posts

Rare ‘daytime fireball’ meteor creates powerful sonic boom as 7-ton space rock explodes above eastern US

sys.admin

NASA announces sweeping overhaul of Artemis return to moon, targeting a 2028 landing and a 2027 in-orbit docking flight

sys.admin

Stone Age tombs in Scotland reveal ‘webs of descent’ among male relatives

sys.admin

Leave a Comment