Salad

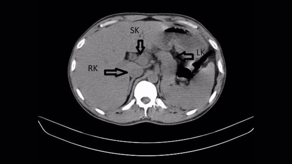
Diagnostic dilemma: A man’s back pain led to the discovery of a third kidney


The patient: A 31-year-old man in Wardha, India

The symptoms: The man visited a medical center after experiencing five days of pain on the right side of his lower back, as well as a burning sensation during urination and a fever higher than 102.2 degrees Fahrenheit (39 degrees Celsius).

Related posts

Hackers used AI to steal hundreds of millions of Mexican government and private citizen records in one of the largest cybersecurity breaches ever

sys.admin

Drought could fuel the rise of antibiotic-resistant superbugs as climate change worsens, new research suggests

sys.admin

‘Very rough day’: Blue Origin’s New Glenn rocket explodes in gigantic fireball, days after being selected for NASA moon missions

sys.admin

Leave a Comment